Dental Smile Gallery Charlotte

Boosting Your Confidence with Real Results

Smiling man in red and black plaid shirt

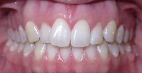
It’s normal to be apprehensive about dental treatment, especially those that require custom restorations (i.e., dental crowns, veneers, dental implants, etc.). Fortunately, the type of care and results you receive does not have to be a mystery. Instead, you can see the real results of others who have entrusted their smiles to Dr. Gordon-Holt and Dr. Fusco.